TOPへ

治療実績集

  1. トップ
  2. 治療実績集
  3. 矯正治療
  4. 激しい歯列(歯並び)の乱れと、酷い顎関節症、上下顎(アゴ)のずれ!顎変形症を『骨切りの外科手術なし』で治したケース

治療実績集 No.193

お悩み(顎関節症)
20歳・女性
激しい歯列(歯並び)の乱れと、
酷い顎関節症、上下顎(アゴ)のずれ!
顎変形症を『骨切りの外科手術なし』
で治したケース

要望:『骨切りなし』の矯正治療を希望
(上下の正中のズレが、かなり大きいケース)

前提条件:アゴ(骨)を切らない約束で、
便宜抜歯を認めてもらう。

【一か八かの治療でなく、骨切りにならないための、次なる対処法を
幾つか用意して治療をスタートしています】

『責任』

通院8年目で完成 (6年目から途中転居で、東京から3ヶ月に一度通院、
妊娠と出産期間7ヵ月を空けてなど、含んだ期間)

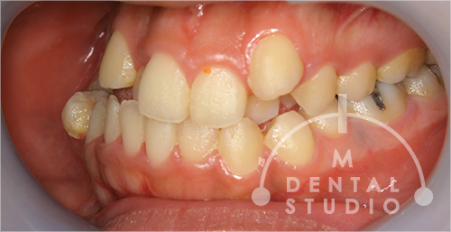
正面写真(術前)
顎変形症のため上下の正中が、かなり大きくズレています。(黄色ラインが各顎の真ん中)天然歯ですが、このように酷く乱れていて『噛める』という状況ではありません。口の中では、『顎関節症や頬を噛む』など、色んなことが起こっており、本当に辛いと思います。
正面写真(術後)
最後は、口がスムーズに開くようになりました。顎関節症も完全に消失しています。根拠として医院にmovieも拝見できます。
「アゴを切らないと矯正治療できない。
普通の矯正治療は無理」と何軒も
言われたそうですが、
ある意味当然で、仕方ない診断だと思います。
しかし、当医院の技術では「アゴを切らない」
という約束で治療開始しました。
(万が一の治療のためのBプランも用意して)
正面写真(術前)
口を開けると、酷く「ガッ~クン」としていました。
正面写真(術後)
アゴを切らない約束なのですが、上下を合わす目的で、抜歯をさせて貰いました。通常矯正では4本抜歯なのですが、かの場合『敢えて非対称の3本の抜歯』にしました。そうなると噛めるのか?となりますが、その結果「かみ合わせ」も良く噛めるという状態になり、顎関節症の症状、口開けにくさも消えております。
さらに1本でも抜歯が少なくなったことは
喜ばしいことです。
左側から見た写真(術前)
右側は激しい歯列のよじれがあります。
左側から見た写真(術後)
側面で一部虫歯がありセラミックで治しています。当医院は、歯ぐきも含めて歯周病、歯槽膿漏のコントロールを、得意しておりますので、ご安心下さい。
右側から見た写真(術前)
前から4番目の歯は抜きましたが、前歯の裏側にあった2番目の歯は抜かずに、前方(唇側)に出してきました。
右側から見た写真(術後)
完成です。遠方ということもあり、時間との闘いで、少し見た目に妥協点があります。しかし、患者様は、大変満足されて終了に承諾されました。
レントゲン写真(術前)
矯正治療・術前のレントゲンです。レントゲン上でも、歯列が波打っています。また、親知らずも全て存在しています。
レントゲン写真(術前)
この矯正治療・終盤時点のレントゲンです。既にこの時点では便宜抜歯3本と上の親知らず2本抜歯を行っています。しかし、下アゴの親知らずを抜いていません。このケースのように、『下の親知らずがあるから』矯正必ずできない訳ではございません。
※親知らずは、患者様の状況に応じて抜くことを協議します。
※また当院では親知らずを抜かないで矯正する場合がございます。必ず抜くとも限りません。

感想と治療期間について

大変、根気強く通院していただきました。大変遠方ですので、本当にご苦労様でした。私共と協議の上、最後の期間は『計画的に2~3ヵ月に一度、更には妊娠出産を超えて』の通院になられ、こちらもその条件を了承して、問題とならない所まで、キッチリと治療の目処がつけれました。何より『互いに治療に妥協せず』満足して良い結果に終われたことは、今後の歯列の安定性と諸々の良好な体調に繋がるでしょう。

私共も安心します。
… 続きを見る
最初から目標(並ぶ・噛める・顎関節症が和らぐ・など目標設定)が決まっていたから良かったのですが、この複雑なケースはいつ矯正治療が終わるか難しい答えでした。もちろん個人の歯の状態によって大きく変わりますので、明確には言えません。治療平均期間というものはありますが、あくまでも平均です。

だから、『これから矯正治療しようと思っている方』は、歯が並んだから、早く止めたいとは思わないで戴きたいです。矯正が中途半端で終わると、将来の歯が危険となりますので、どんな矯正治療する前にも、しっかりとご検討してください。

施術のリスク、副作用などの注意事項▼