重症歯周病(軽度)の実績|歯周病治療【大阪の歯科クリニック】MDENTAL STUDIO
診療時間・アクセス
ホーム
HOME
医院紹介
ABOUT
診療時間
アクセス
院長紹介
ドクター紹介
料金表
保証制度
治療のクオリティー
よくある質問
診療時間・地図
治療のご案内
MEDICAL CARE
治療内容一覧
歯周病
審美歯科(セラミック)
矯正歯科
インプラント
入れ歯
ホワイトニング
かみ合わせ治療
保険治療
悩み実例集
CASEBOOK
お悩みエピソード
EPISODE
CLOSE
治療実績集
トップ
治療実績集
歯周病治療
『30歳代』若くして歯ぐきがドンドン痩せた! その歯周病を止めれるのか? 2007年編(歯を持続させるための治療part1) 30歳代・女性
治療実績集 No.197
【関連コラム】
言うのは簡単!「歯を残す!」って書いてるけど、結局抜くんじゃん!
【関連コラム】
歯を延命するには?
軽度
『30歳代』若くして歯ぐきがドンドン痩せた!
その歯周病を止めれるのか?
2007年編(歯を持続させるための治療part1)
30歳代・女性
Q1.患者様の目的である、痩せた歯ぐきは
止まるのか、解決できるのか!?
Q2.またこのまま、何もせず定期点検と経過観察
を繰り返していたらどうなっていたのか?
歯ぐきが弱ってる歯周病・歯槽膿漏の歯に
『健全な歯を削りセラミック』をして本当に
大丈夫なのか?それが今後の大きな疑問と課題に
なるのではないか、と思われます。
結論、当医院の計画性と技量が問われると思います。
しかし当時の計画した内容が、15年経って
2022年の結果
198番の症例
を見てください
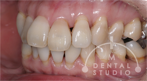
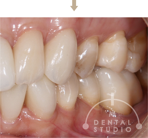
レントゲンからでも分かるように、前歯も奥の下左右6番の歯は、歯ぐきが痩せ、一部では歯周ポケットも深く、本人曰く年々ではなく、日に日に痩せていくと感じてしまうほどだったそうです。「50代では歯が全て抜けるだろう」と診断されたこともあり、手立てがないので『経過観察』ということもあり、患者様本人は非常に危機感を露にしておられました。さて、そんな方にセラミック治療はアリなのか?
もちろん、患者様と将来どうなっていくか、
『根拠と証拠』を踏まえ、
じっくり話し合いをして承諾して治療しました。
これが我々のやり方です
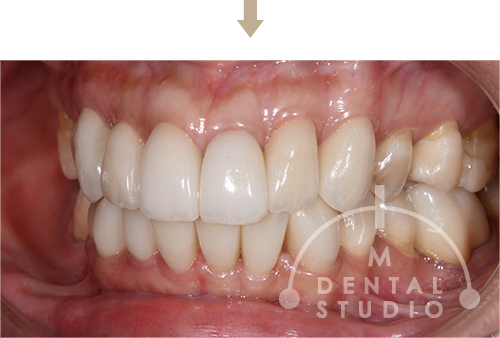
治療結果として美しくなっていますが、『美しくするために治療したのでなく』、歯周病を完全に止めるために、セラミックを利用して『歯を残すという治療』を施しています。もちろん、本人の承諾の下でしか、当院は健全な歯を治療致しません。
さてこの症例がどれほど、歯ぐきや歯が持続するのか?
198番
で結果を発表してみましょう。
歯周病を引き起こしているため、歯と歯の隙間が目立ちます。毎日小まめに歯間ブラシと歯ブラシを使い歯磨きを行っていますが、歯周病の進行は止まりません。このままでは…まずいと思われていたらしいです。
治療後は歯と歯の隙間もなく、美しく仕上がりました。しかし、これで将来が『安心』と言えるのでしょうか。これで歯周病が治ったと言い切れるでしょうか?大事なことはその後の未来、歯ぐき、歯の結果はどうなっているのかだと思います。
結果は
198番の症例
を見てください。
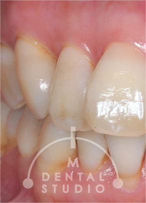
歯の表面が少し黒いですね。
これは一体何でしょうか。答えはヨウドです。必死にヨウドでガラガラうがいをしていたのです。だから、うっすらと黒くなるのですが、歯周病に効果は懐疑的です
この方は、歯周病を止めるために我々に完全な条件を承諾し、協力して頂きました。完成数日後の写真です。
当初は歯が出っ歯であり、歯がガタガタで、歯と歯の隙間もでき、ますます歯ぐきも痩せていました。
当医院では、通常のセラミック治療技術だけを施術した訳ではありませんが、『歯周病を理解し技術的にコントロール下にして』セラミック治療を行いました。またそれだけでは、完全に歯周病を止まったと言い切るのは無理があります。これからの定期点検、メンテナンスや自己管理が長持ちさせるお約束が必要になります。これは天然歯でも同じこと、定期検診(3ヵ月ごと)にしますよね。それと全く同じことですので、定期点検は特別な通院ではありません。
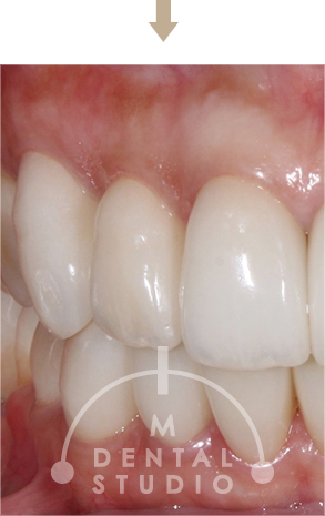
この方も、今や『もう50歳ちょうど』に、なりました。
治療が終了しても、3ヵ月に一度コンスタントに
必ず定期検診を受け、
細分の微調整も時々受け続けています。
2022年時点現在で50歳での結果を
198番の症例
をご覧ください。
2007年に治療を決心していなかったら、
今頃どうなっていたことか?と言う話し合いを
この患者様とよくお話しいたします。
part2
で、Q1.とQ2.答えと当医院の考察意見も書いております。
15年間のうち2年間は、ロシアに住まれていましたが、日本に半年一度帰国され、同時に定期検診を受けに来ておられました。今も尚『すべての歯』が若い時に比べ安心感の中で残っています。
重症歯周病(軽度)
歯周病治療
『30歳代』若くして歯ぐきがドンドン痩せた! その歯周病を止めれるのか?2007年→2022年 歳月の重要性編(歯を持続させるための治療part3)
歯周病治療
『30歳代』若くして歯ぐきがドンドン痩せた!歯周病は 止めれるのか?2007年→2022年編(持続可能な治療part2) 30歳代・女性
重症歯周病(軽度)
関連のある実績
歯周病治療
『30歳代』若くして歯ぐきがドンドン痩せた! その歯周病を止めれるのか? 2007年編(歯を持続させるための治療part1) 30歳代・女性
歯周病治療
【過去を振り返る】奥歯の歯ぐきの腫れ(ハレ)について【分岐部病変】
審美治療
歯周病治療
通院患者様専用情報
他院でセラミック入れてもらってからずっと腫れている!?
審美治療
歯の崩壊 歯がボロボロ!ガタガタ!
歯周病治療の実績一覧へ
歯周病治療のご案内へ
カテゴリから実績を探す
歯周病治療
審美治療
インプラント治療
矯正治療
ホワイトニング
入れ歯治療
かみ合わせ治療
保険治療
フリーキーワードから治療実績を探す
各治療内容一覧
歯周病治療
審美歯科
インプラント治療
矯正治療
ホワイトニング
入れ歯治療
かみ合わせ治療
保険治療