すぐ抜けそう,ナチュラルな歯,歯がグラグラ,歯の復活,歯の黒ずみ,重症歯周病(中度)の実績|歯周病治療【大阪の歯科クリニック】MDENTAL STUDIO
診療時間・アクセス
ホーム
HOME
医院紹介
ABOUT
診療時間
アクセス
院長紹介
ドクター紹介
料金表
保証制度
治療のクオリティー
よくある質問
診療時間・地図
治療のご案内
MEDICAL CARE
治療内容一覧
歯周病
審美歯科(セラミック)
矯正歯科
インプラント
入れ歯
ホワイトニング
かみ合わせ治療
保険治療
悩み実例集
CASEBOOK
お悩みエピソード
EPISODE
CLOSE
治療実績集
トップ
治療実績集
歯周病治療
【中度】このままでは、前歯が3本ともが、歯茎が下がって歯が抜け落ちそう…歯周病で!
治療実績集 No.050
【関連コラム】
言うのは簡単!「歯を残す!」って書いてるけど、結局抜くんじゃん!
【関連コラム】
「歯を残す」ことと「インプラントをする」ことは、どちらが治療として難しいことなのか?
中度
女性49歳・主婦・鶴見区
このままでは、前歯が3本ともが、
歯茎が下がって歯が抜け落ちそう…歯周病で!
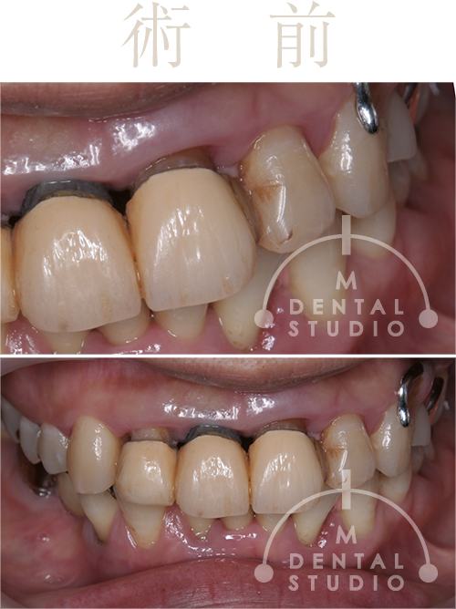
歯ぐきの腫れと激しく歯の動揺、そして口臭と、歯と歯の黒い隙間
「歯の復活」
かぶせの連結はせずに終了しています。
歯ぐきの『色と艶』が見違えるように自然になりました。
そのため、フロス(糸楊枝)は使いやすくしています。
治療中の現状です。
そもそも、オールセラミックには、不利とされる黒ずんだ歯根が治療中存在していました。これを隠すのは実は難しいです。
感 想
歯のぐらつきで、ヤフー知恵袋から見つけ来院されたらしいですが、その時、すでに前歯だけでなく、歯のほとんどが動揺しているため、治療手順を1つでも間違えると、残る歯も次々と抜歯になってしまうような状況でした。また、術前は前の3本が連結されているため、噛むごとに大きく勤揺し、大きな不安を持っておりました。歯を抜くことやむ無しに近い状態でした。しかし今では、前歯の動揺もなく、再度、被せ(クラウン)の連結することなく、自然な状態に「復活」しています。歯がグラグラする治し方としては、当院の『歯を残すという治療・技術』の治療方法の一つですが、治療の仕方を間違えると、どんどん抜けるので、慎重にお願いいたします。
歯を残すという治療
すぐ抜けそう
ナチュラルな歯
歯がグラグラ
歯の復活
歯の黒ずみ
重症歯周病(中度)
歯周病治療
【重度】30代女性「歯がボロボロ」インプラント10本以上必要と診断されたのですが・・・。
歯周病治療
【重度歯周病】大人の歯がぐらぐら治るために!触ると抜ける!型取りすら出来ない!Part2
すぐ抜けそう
ナチュラルな歯
歯がグラグラ
歯の復活
歯の黒ずみ
重症歯周病(中度)
関連のある実績
審美治療
歯周病治療
【中度】このままでは、前歯が3本ともが、歯茎が下がって歯が抜け落ちそう…歯周病で!
歯周病治療
歯ぐきが大きく腫れて! 歯がグラグラ・ボロボロ、危ない!もう歯が抜けそう。50代・女性
かみ合わせ治療
インプラント治療
審美治療
歯周病治療
「歯を残すという治療®・技術」を施すと、歯ぐきは何歳まで回復するのか?81歳 女性
審美治療
歯ぐきの黒ずみ改善集 collection06
審美治療の実績一覧へ
審美治療のご案内へ
歯周病治療の実績一覧へ
歯周病治療のご案内へ
カテゴリから実績を探す
歯周病治療
審美治療
インプラント治療
矯正治療
ホワイトニング
入れ歯治療
かみ合わせ治療
保険治療
フリーキーワードから治療実績を探す
各治療内容一覧
歯周病治療
審美歯科
インプラント治療
矯正治療
ホワイトニング
入れ歯治療
かみ合わせ治療
保険治療