TOPへ

治療実績集

  1. トップ
  2. 治療実績集
  3. 歯周病治療
  4. 歯ぐきが大きく腫れて! 歯がグラグラ・ボロボロ、危ない!もう歯が抜けそう。50代・女性

治療実績集 No.192

重度
歯ぐきが大きく腫れて!
歯がグラグラ・ボロボロ、危ない!もう歯が抜けそう
50歳・女性
まさしくピアノの鍵盤の
ように歯が動く!!

我々医院でも治療の仕方を間違えていたら、次々抜けていたと思いますし、当医院でも「歯を抜かない」とは謳っておりません。でも『歯周病から救えて、間に合って良かった!!』あとは、患者様の来院されるタイミングが悪ければ、もっと歯が次々と抜けていたでしょう。

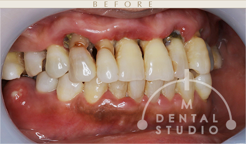
正面写真(術前)
この上の「前歯」は、ピアノの鍵盤のようにグラグラであり、更に虫歯が酷くボロボロでした。ご自身でも歯磨きをしたくても、もう~どうにも出来ない!って感じです。
しかし、「上下の前歯」は、抜歯をすることなく助けていきます。

希望を捨てないで下さい

当医院には、絶望から復帰・復活された方々の実例がおられますので。
そして、その方々が『10年以上の年月・歳月という経過と結果』が重要と考えております。

正面写真(術後)
随分と歯ぐきの色が変わりました。非常に『健康的な歯ぐき』に産まれ変わりました。それは何故こんな色になったのでしょう?薬で脱色したり色を塗ったわけではないですから、すべて理解して行っています。
左側写真(術前)
術前は歯ぐきの色は赤く、ポコポコと歯ぐきは腫れて、さらに黒ずむくらいかなり痛々しいです。
左側写真(術後)
術前の歯が、かなり条件悪いので、今後、この歯が『検診もせず一生涯保つ』ことはありません!必ず当医院の定期検診とメンテナンスを受けて戴くことが必須となります。
色んなことに、『気づいて貰えます』ので、是非とも受けて下さい。

施術のリスク、副作用などの注意事項▼